- Numărul cazurilor de cancer va crește cu 77% până în 2050.
- Raportul acoperă 185 de țări și analizează 36 de tipuri de cancer.
- Situația nu e mai bună nici la noi în țară. În 2023, numărul de noi cazuri de cancer diagnosticate a crescut cu 21% față de 2022.
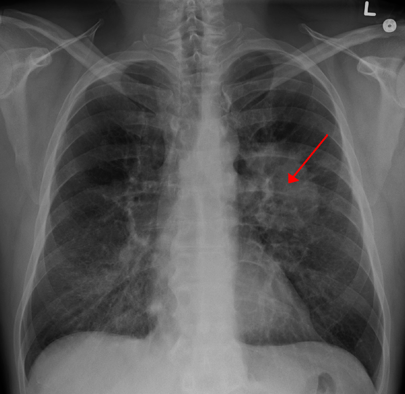
În 2022, cancerul pulmonar era cea mai frecventă formă în întreaga lume (2,5 mil. cazuri). Numărul cazurilor de cancer va crește cu 77% până în 2050. Este anunțul alarmant din partea Organzației Mondiale a Sănătății.
„Cauzele sunt aceleași întotdeauna. Și creșterile nu sunt doar la noi în România, sunt peste tot în lume. Trebuie să specific că, în România, din păcate, cancerele sunt depistate în fază tardivă, acolo unde prețurile cresc, tratamentul crește ca și valoare, iar șansele scad vertiginos, șansele de supraviețuire”, susține Cezar Irima, Președinte la Federația Asociațiilor Bolnavilor de Cancer.
Datele Agenției Internaționale pentru Cercetare în domeniul…
