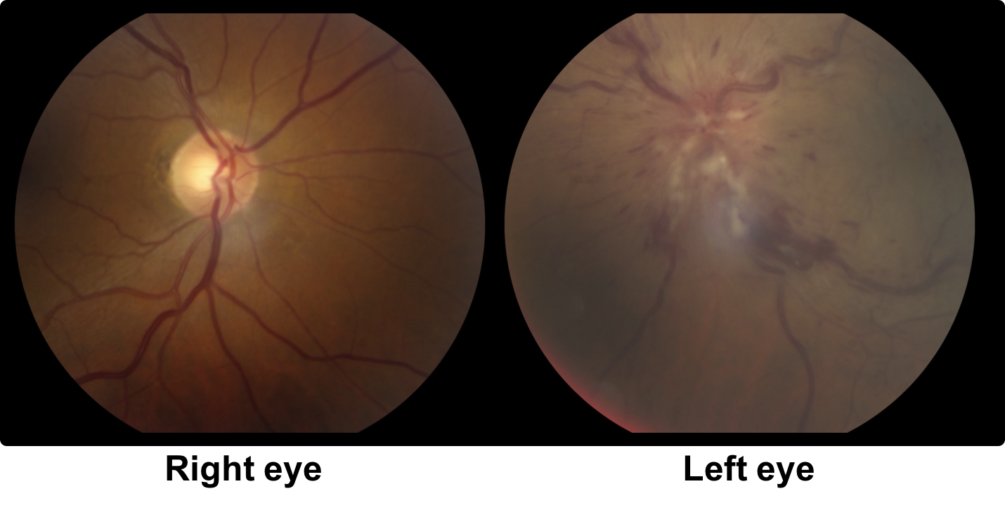
- Dacă boala afectează un ochi, există mari șanse ca și celălalt să fie afectat.
- Ozempic sau Wegovy ar putea dubla riscul de a dezvolta această afecțiune.
- O echipă de cercetători speră să schimbe acest lucru cu o terapie genică inovatoare.
Anul acesta, pacienții cu NAION, o boală rară care provoacă pierderea bruscă a vederii, ar putea beneficia de un tratament revoluționar. Terapia promite să „întoarcă timpul” și să refacă vederea prin refacerea fluxului de sânge către nervul optic.
Deși cauzele exacte nu sunt pe deplin înțelese, factori precum diabetul, hipertensiunea și fumatul ar putea contribui la dezvoltarea acestei boli. Iar recent, s-a sugerat că medicamentele pentru pierderea în greutate, cum ar fi Ozempic sau Wegovy, ar putea dubla riscul de a dezvolta această afecțiune. Din păcate, nu există tratament pentru NAION și, dacă boala afectează un ochi, există mari șanse ca și celălalt să fie afectat, lucru care ar putea duce la
